Sleep splint(口腔内装具)
による治療法について
Sleep splint(口腔内装具)とは?
睡眠時に口内に装着することで,下顎を前方へ変位させたさせた状態で固定し,気道の狭窄を予防するものです。
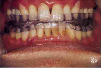
Sleep splint(口腔内装具)を装着した状態
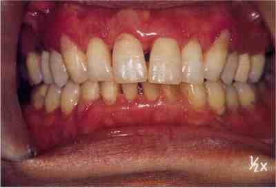
装具装着前
装具装着後
下顎が前方に移動しています。
Sleep splint(口腔内装具)の効果
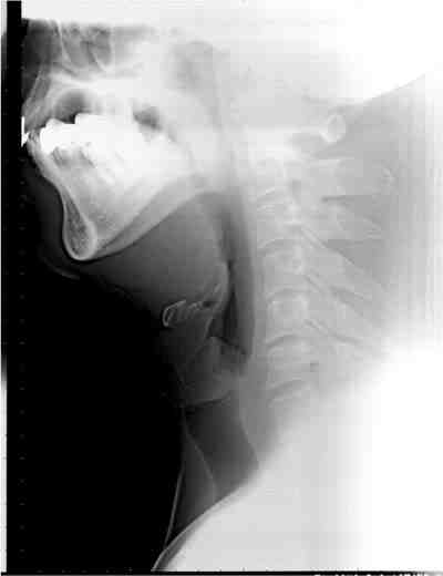
装具装着前
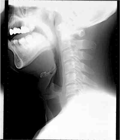
装具装着後
下顎が前方に移動し,気道が広くなっています。(黒い部分が空気の通り道です。)
Sleep splint(口腔内装具)装着後の無呼吸の程度
装具装着前
装具装着後
上段の黒い部分が下に行くほど低酸素状態が多かったことを示します。Sleep splint(口腔内装具)装着後はある程度無呼吸が減少していることがわかります。